審美セラミック治療

審美セラミック治療

白い差し歯、つめもの

今までは、保険医療の制限などもあり、歯科治療材料として金属素材が使われる場合が多かったのですが、近年、金属アレルギーなどを惹起する心配がないセラミックによる歯科治療が注目されています。歯科用セラミック材料には強度があり、美しく、安心できる素材であることが求められます。
ジルコニアは強度と靭性をもちつつ、耐久性、耐食性、耐熱性にも非常に優れ、美しく人体への適応も高いことから金属材料に代わる素材として注目されています。さらに当院では、軽量で耐久性があり柔らかい新素材を使用したタムクラウンを導入にしています。人気のジルコニアより軽量で身体にやさしく且つ低価格に治療することができます。

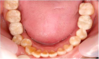
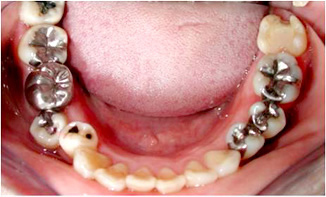
セラミック治療前

セラミック治療後

※上記写真は、ジルコニアセラミック(築盛仕上げ)治療(1本 税込119,800円)を行った症例です。

金属を一切使わない理想の治療

日本では2005年に歯科用ジルコニアセラミックとして薬事法の認可を受け使われはじめました。
その機能性・審美性・安全性・信頼性などから、世界中ですでに年間500万本以上の補綴物に使用され十分な実績のあるジルコニアは、つけた瞬間から安心と自然な美しい笑顔を与えてくれると思います。

ジルコニアの優れた特性

ジルコニアは人工ダイヤモンドとしても有名ですが強く、軽く、美しく、そして体に優しい陶器に似た素材です。歯科以外にも、スペースシャトルの断熱材、車のブレーキ、人工股関節の一部などに使用されています。

ジルコニアの良いところ

  • 金属では出せない、自然な透明感ある歯を作れます。
  • 金属の半分から1/3の軽さで歯にかかる負担も軽減されます。
  • 金属を使わないので、金属アレルギーの発生がなく安心。
  • 従来のセラミック治療で生じることがあった歯茎の変色の心配がない
  • 強くて丈夫な素材で、しっかり物が噛める
  • 身体への親和性が良く、人体にとり優しい歯科材料。
  • 従来のオールセラミックスでは不可能であった、長いブリッジ(橋渡し)治療が可能。

ジルコニア治療は、次のようなご希望がある方にオススメです。

  • 白く美しい審美性の高い治療をご希望の方
  • 金属を一切使わないメタルフリーの治療をご希望の方
  • 変色や変質がなく丈夫で長持ちする素材での治療をご希望の方

このような方に是非オススメの治療です。

ジルコニアが選ばれる理由とは…

一般的に銀歯を白くする歯科治療(一般的にセラミック歯科治療といいます)のほとんどは自費なので価格は高くなります。銀歯など金属の歯を白いクラウン(被せ物)、インレー(詰め物)に変えると口元の気になるコンプレックスは解消されるでしょう。

予算的な事もあり、価格の安い治療(セラミックとプラスチックを混ぜたもの)で歯科治療を行う方もいらっしゃいますが、強度が低く色の劣化が生じるというデメリットがあります。ジルコニアであれば、上記の治療と比べ汚れが付きにくく虫歯治療や歯周病予防にも効果を発揮します。

さらにジルコニアの高い強度のおかげで健康な歯を削る量が少なくて済み、スペースの小さい箇所にも適用できます。ジルコニアは高額ではありますが数種類あるセラミック歯科治療の中で、最高品質の施術方法となります。唯一の欠点とすれば、それは、お値段が少し高めである事(自由診療)だと思います。

都内の相場は1歯あたり10万円から15万円です。 ジルコニア セラミックスを使用した治療は、基本的に自費診療となります。費用は症状、治療内容によって異なります。かぶせ物の構造によっても大きく異なります。

あさひ歯科では 一人でも多くの方に、ジルコニアセラミックでの治療をご選択頂けるよう、新しくセラミック専門の技工所と提携し、できるだけ費用を抑え最適な料金で提供できるよう日々努力しています。

審美セラミック治療の費用・料金

▼ かぶせもの・クラウン(前歯)
硬質レジン前装冠 保険適用
ハイブリッドクラウン 68,800円(税込)
メタルボンド(築盛仕上げ) 118,000円(税込)
オールセラミック(当院オリジナルジェネリック材料) 93,500円(税込)
フルジルコニア 95,700円(税込)
ジルコニアレイヤリング(築盛仕上げ) 132,000円(税込)
シェードテイキング込み
▼ かぶせもの・クラウン(奥歯)
金銀パラジウム合金 保険適用
ハイブリッドレジンCAD/CAM冠(小臼歯のみ) 保険適用
保険適用は条件を満たしている状態の方以外は選択不可
オールセラミック(当院オリジナルジェネリック材料) 74,000円(税込)
ジルコニアクラウン 95,700円(税込)
メタルボンド(築盛仕上げ) 118,000円(税込)
▼ つめもの・インレー
金銀パラジウム合金 保険適用
グラスセラミックス 49,500円(税込)
オールセラミック(e.max) 57,200円(税込)
ジルコニアインレー 60,500円(税込)
ゴールド 88,000円(税込)
(2025年11月改定)
患者様都合により予定のお渡し日に被せ物などが装着できない場合、再度型どりが必要となることがあります。その場合は再作製料金が発生する場合があります。

保険適用の白い差し歯・かぶせものについて

当院では、保険適用の白い差し歯・かぶせものも取り扱っています。
保険での白い歯に関しましては、厚生労働省の療養担当規則に沿っての
治療となります。そのため、口腔内状態によっては保険適応での治療ができない場合がございます。また、歯軋りや噛みしめ癖のある方は
保険の白い被せ物、詰め物では耐久性が著しく不足する場合が生じます。
それらを勘案し、患者様の御希望に可能な限り沿いつつ治療方法につきましてご提案をしております