ヒューマンブリッジ治療

従来のブリッジ治療では健康な歯を大きく削らなければならないことが大きなデメリットとなっていました。また、インプラント治療では、手術が必要、治療期間が長いなどのデメリットがありました。

インプラントのデメリット
手術が必要
費用が高額
持病があるとできない
従来のブリッジのデメリット
歯を削らないといけない
神経を取らないと治療ができないこともある

ヒューマンブリッジは、このような負担やデメリットを解消できる治療法です。

ヒューマンブリッジの特徴

ヒューマンブリッジは、患者さまが安心できる特徴がたくさんあります。

治療における最大の特徴2つ

麻酔なしで治療が可能
手術を必要とせず、持病をお持ちの方も治療ができる
ヒューマンブリッジは、インプラント治療と違い、外科手術を行いません。ほとんどの場合、麻酔もいたしません。そのため、心臓病、糖尿病、高血圧などでインプラント治療ができない方にも対応できるケースが多くあります。

ヒューマンブリッジが安心できる特徴5つ

1.歯をほとんど削らない!
隣り合った歯をほとんど削りません。また、ほとんどの場合、歯の神経を抜くことありません。
歯を削る量は今までの治療と比べて最小限にし、構造で安定させる治療になります。

2.外れにくい!
固定式のため、噛む機能が高く、義歯のように外したり、落ちたりしにくいです。

3.異物感が少ない・見た目も安心!
基本的に、隣り合った歯の噛み合う面は削りません。装着時の違和感は少なくなります。また、お口の正面から見ると金属部分がほぼ見えませんので、見た目も安心です。
目立ちにくい自然な見た目
4.入れ歯のようなお手入れが不要!
接着剤で固定するため、取り外しの手間はありません。ヒューマンブリッジは特殊な3D構造により、歯を削る量を最小限にしつつ、前からも後ろからも上からも外れにくい仕組みになっています。そのため、取り外しができる入れ歯に比べて違和感なく食事を楽しむことができます

5、通院回数が少ない!
ヒューマンブリッジの通院回数は2回~と短いことも特徴です。多くの場合は、1回目に歯型を取り、2回目にブリッジを装着して治療が終了します。

ヒューマンブリッジのデメリット

ヒューマンブリッジに使用している金属の世界的な高騰を受け、非常に高価な治療方法となってしまいました。以前はインプラント治療よりも治療費がかからない
治療でありましたが、現在では費用面で他の治療の方が良い場合が多くなってしまいました。また「歯を大きく削るブリッジと比べて固定力は弱い」というデメリットがあります。特殊な構造で外れにくいヒューマンブリッジでも、衝撃が加われば外れてしまうことがあります。

ヒューマンブリッジ治療の流れ

①歯を失った隣り合った歯を、必要最小限(0.3ミリから0.5ミリほど)削ります。無麻酔での処置が可能です。

②型取りをし、作成した必要なパーツを、歯を包み込むように接着剤で装着します。

③両側の歯にパーツが装着された状態のイメージです。

④次に歯と歯の間に人工の歯を接着剤で装着し、完成となります。


ヒューマンブリッジでの治療ができない場合もあります。
歯がない部分が連続して3本以上の場合
1つのヒューマンブリッジで治療できるのは失った歯が2本までの場合となります。一番奥の歯の場合は1本までです。連続して3本以上の歯がない場合は入れ歯或いはインプラント等の従来からある治療法となります。
両側の歯が治療済みである場合
歯を失った箇所の両側にある歯は自然歯である必要があります。両側の歯が既に被せ物や差し歯である場合、または虫歯や歯周病が重度の場合はヒューマンブリッジの適応外となります。

治療費用

ヒューマンブリッジの費用・料金について

▼ ヒューマンブリッジ治療
歯の欠損数 1歯 550,000円(税込)
歯の欠損数 2歯 770,000円(税込)
ヒューマンブリッジの料金は、歯の欠損数により変動します。

ヒューマンブリッジ治療の症例と適応条件

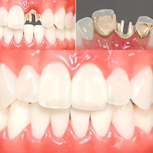
前歯1本のヒューマンブリッジの場合

※上記写真は、ヒューマンブリッジ治療(欠損1歯 税込550,000円)を行った症例です。

奥歯1本のヒューマンブリッジの場合

※上記写真は、ヒューマンブリッジ治療(欠損1歯 税込550,000円)を行った症例です。

奥歯2本のヒューマンブリッジの場合

※上記写真は、ヒューマンブリッジ治療(欠損2歯 税込700,000円)を行った症例です。